价格:¥0.00/件
发货:3天内
发送询价
甲状腺结节发生在世界上 50% 的人口中,发病率随着年龄的增长而增加。超声引导下的甲状腺活检比徒手技术产生更准确的结果。(1)
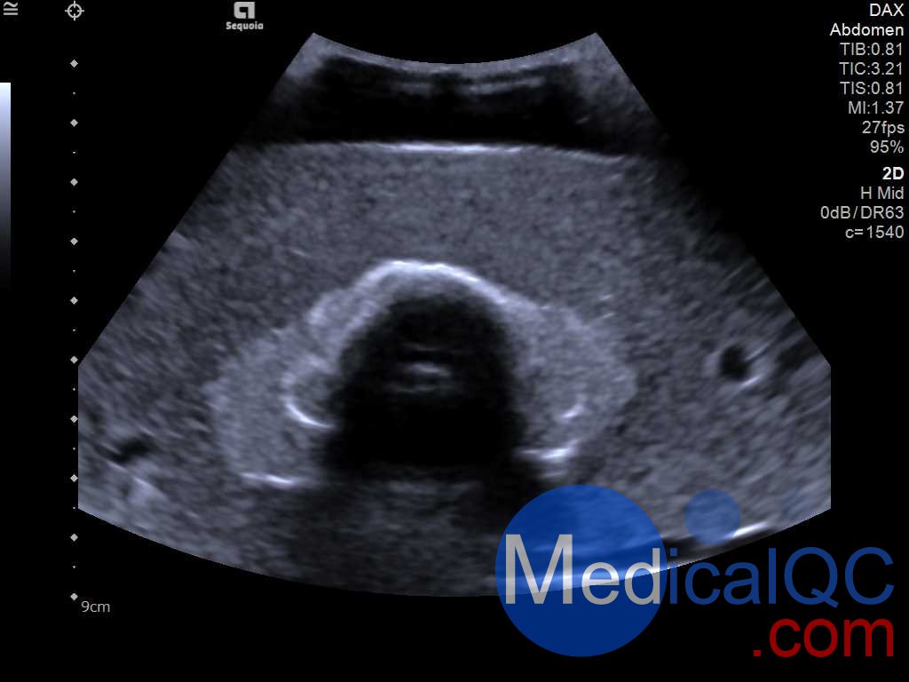
CIRS 074甲状腺训练模型是一种一次性训练工具和练习介质,用于超声引导甲状腺活检程序。该模型还是一种出色的教学工具,用于识别各种类型的甲状腺结节和培训正确的甲状腺扫描技术。
Cirs 074模体包含一个略微增大的甲状腺,位于拟人化的脖子内。下巴和锁骨作为外部解剖标志。模体提供气管、颈内静脉和颈总动脉作为内部解剖标志。每个甲状腺叶包含一个囊肿和一个等回声硬性病变。可以在甲状腺内定制制造各种结节。所有材料都经过精心设计,具有超声波逼真性。
模体可以被刺破多次,不会泄漏,不需要特殊存放。
甲状腺训练模型创造了一个轻松的学习环境,可以在其中发展技能。
Cirs074甲状腺超声训练模体,Cirs074甲状腺穿刺模体特征:
培训如何进行甲状腺超声检查
练习超声引导活检程序
内部和外部解剖标志
超声波逼真的材料



