分享好友 资讯首页 频道列表

航天发动机关键零部件多材料一体化制造 l 增材制造产业联盟发布的典型应用场景

2023-02-17 15:177280
【智能装备网讯】

         2022年8月,工业和信息化部发布了《首批增材制造典型应用场景名单》,经过地方推荐、专家评审、社会公示等程序,形成了首批增材制造典型应用场景,共有工业、医疗、建筑、文化等领域的36个优质应用场景入选。

为加快增材制造先进技术与装备应用推广,中国增材制造产业联盟设立“增材制造典型应用场景案例专栏”,从需求痛点、案例介绍、技术先进性、应用成效、下一步计划等角度立体展示优秀成果案例。

近日,中国增材制造产业联盟发布了该专栏的第三期案例—“航天发动机关键零部件多材料一体化制造”。

联盟_1

block 背景概述

(一)需求痛点

     为了适应新一代航空、航天结构“轻量化、梯度化、结构功能一体化”的发展趋势,克服极端工作温度、大跨度载荷等多约束条件对金属材料性能的影响,功能梯度材料应运而生。传统粉末冶金、焊接等功能梯度材料的制造方式具有一定的局限性,制约了新型材料结构在航空航天等领域的应用,急需合适的新工艺,金属增材制造是一种非常具有潜力的新型加工技术。

(二)解决方案

      激光定向能量沉积技术(Laser direct energy depositionLDED),又称为激光直接制造(Laser direct manufacturing,LDM),其原理是基于离散-堆积的思想,采用激光作为热源,熔化同步送入熔池的金属粉末,层层堆积,直接制造出实体结构。

在LDM 技术中,激光作为热源将粉末与基体表面加热至熔化,熔池快速凝固后形成沉积层,在这个过程中,通过改变多种合金粉末的配比,就可在零件的任意位置获得所设计的材料成分、组织结构和性能,进而实现高性能梯度功能材料、多材料一体化制备和最终成形,成为集材料设计、加工制备于一体的智能化、柔性化制造系统。

block 案例—TC4基材表面梯度功能涂层制备

(一)案例描述

钛合金具有良好的力学性能和耐腐蚀性能,由其制造的金属结构部件已经广泛应用于航空、航天等领域,但钛合金的耐高温性能不足,通过材料梯度化提高钛合金的耐高温性能具有重要意义。通过激光熔覆,在TC4基材表面制备出了连续过渡的梯度功能涂层:

(1)采用RC-LDM8060型激光增材制造设备制造Ti6Al4V/Inconel718功能梯度材料

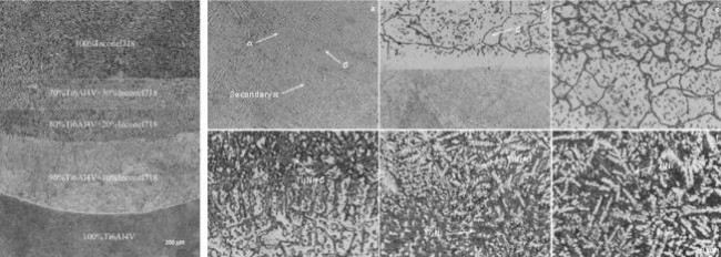
该系统由YLS-3000光纤激光器、同轴送粉激光头、双桶送粉器以及3轴数控机床等组成。在氩气保护的密封箱体内进行,在TC4基材表面制备出的功能梯度涂层组织致密,成分性能连续过渡,如下图所示。

联盟_2梯度涂层宏观金相图和各区域显微组织(a→e 由 TC4 基材至顶部 IN718 涂层)

联盟_3成分变化以及显微硬度变化(由基材至梯度涂层顶部)

(2)采用RC-LDM8060型激光增材制造装备制造Ti6Al4V/Inconel625功能梯度涂层

该系统由 YLS-3000 光纤激光器、同轴送粉激光头、双桶送粉器以及3轴数控机床等组成。在氩气保护的密封箱内进行,在TC4基材表面制备出的功能梯度涂层组织致密成分性能连续过渡,如下图所示。

联盟_4梯度涂层宏观金相图和各区域显微组织(a→d 由 TC4 基材至顶部 IN625 涂层)

联盟_5成分变化以及显微硬度变化(a、b、c 依次为底→顶三个结合区域的元素变化)

(二)技术水平及先进性

该类增材制造装备在功能梯度材料的制备上首次集成了多通道送粉装置,可同时支持最多六种金属粉末的输送,并开发了专用的混粉功能模块,实现多路金属粉末的原位均匀混合。针对多路送粉功能开发了送粉控制软件,研究人员可通过预先的材料成分设计,实时更改增材制造过程中材料的配比,实现均匀过渡。

block 应用推广成效

中科煜宸已为多家科研院所及高校定制生产了多台多材料高通量打印专用设备,满足了对梯度材料、高熵合金等的开发需求,其成果已广泛应用于航空、航天、汽车、船舶、模具等行业,有力推动了技术的发展。同时,也为工业制造领域的终端用户提供了上百套智能金属激光增材制造装备。中科煜宸已成为国内工业化金属激光增材制造装备的主要供应商之一,并与客户合作完成多型增材制造产品的开发。

联盟_6TiC 颗粒增强钛基梯度材料

联盟_7钛铝梯度材料

block 下一步提升及推广

下一步,中科煜宸将利用同轴送粉技术多材料复合制造的技术优势,实现钛合金-钛铝合金、高温合金-不锈钢、高温合金-铜合金等的功能梯度材料/结构制备研究,进行异种材料的立体成型,火箭发动机尾喷管等的一体化制造研发。

(采编:www.znzbw.cn)

免责声明:

本网转载并注明自其它来源(非智能装备网)的作品,目的在于传递更多信息,并不代表本网赞同其观点或和对其真实性负责,不承担此类作品侵权行为的直接责任及连带责任。其他媒体、网站或个人从本网转载时,必须保留本网注明的作品第一来源,并自负版权等法律责任。如涉及作品内容、版权等问题,请在发布之日起十五天内与本网联系,否则视为放弃相关权利。

反对 0
举报 0
收藏 0
打赏 0
评论 0

相关资讯