现行大段骨缺损治疗的理念仍为借助自体、异体或人工骨移植填充的方式完成骨组织的替代与融合,即”骨-骨”界面融合,理论根深蒂固,而临床疗效欠佳。北京大学第三医院等科研机构的研究团队,在一项研究工作中采用定制式3D打印钛合金多孔内植物进行大段骨缺损的修复,实现了患者早期肢体功能恢复及远期”内植物-骨”界面的可靠融合,疗效显著提高。
©3D科学谷白皮书
提升早期及远期疗效
相关研究论文发表在Bioactive Materials期刊
https://doi.org/10.1016/j.bioactmat.2021.03.030
该研究工作得到了中华人民共和国科学技术部国家重点研发计划(2016YFB1101501)支持。
传统“骨-骨”融合治疗理念
创伤、感染或肿瘤切除等原因造成的大段骨缺损一直是具有挑战性的临床难题。大约5%-10%的骨折会延迟愈合或不愈合,而几乎所有的节段性骨丢失会导致骨折不愈合。在全球范围内,每年有超过220万例骨移植手术用于治疗骨科、神经外科和牙科的骨缺损。
大段骨缺损治疗的经典技术包括Ilizarov技术、通过生物膜诱导骨再生技术(Masquelet技术)、自体血管化皮质骨移植技术及钛网(填充以自体或异体骨)植入技术。上述疗法随技术上各有特点,但实质上均建立在“骨-骨”融合的理念之上,即于缺损区内移植填充自体骨、异体骨或人工骨,通过骨组织的修复替代,最终完成缺损区两端骨骼的连接与融合。
然而,临床实践表明这些治疗方法并不理想,有时甚至并不可靠。一般通过Ilizarov手术进行骨搬运需要数月时间才能愈合,在此期间患者无法正常活动。此方法更无可能用于多节段脊柱骨骼缺损的治疗。Masquelet技术和自体血管化皮质骨移植的方法有助于增强骨融合,但难以实现术后即刻稳定。由于需要大量异体/自体骨作为移植骨材料,常需另外手术取骨(如髂骨取骨)。采用钛网植入骨缺损区的方法在一定程度上为各种移植材料的应用提供了便利,但其固定作用有限,且自身也存在容易松动、下沉或移位的不足。实际上,在某些解部位,如干骺端,Ilizarov和Masquelet等技术也难以应用。
综上,建立在“骨-骨”融合理念与理论基础上的各种传统技术在治疗大段骨缺损时存在诸多不足或缺陷:治疗过程漫长,而术后患者肢体无论即刻、早期,或术后较长时间内均无法负重。
3D打印多孔钛合金内植物
“内植物-骨”界面融合
与上述需要大量异体/自体骨填充的方式相比,应用3D打印多孔钛合金内植物修复重建骨缺损似具有明显优势,首先,可根据骨缺损的形态精准定制植入物与之匹配,且无需植骨;另外,可根据金属假体的优势,设计固定装置,实现内植物与相邻骨骼之间的即刻稳定,以使患者做到术后早期离床活动;再者,可借助内植物的多孔结构特征,吸引相邻骨组织长入其中,最终实现内植物-骨界面的永久融合。
图1.3D打印多孔Ti6A14V内植物重建4 cm股骨缺损的放射学和生物力学分析。(A)植入后1个月、3个月和6个月的X线图像(i-iii)植入后1、3和6个月的计算机断层扫描图像(iv-vi)。蓝色箭头表示缺损部位或植入物外表面新形成的骨。(vii)各组的放射学评分。(n=4)(B)处死后1、3和6个月组的microCT三维重建图像(i-iii)(灰色表示钛合金,绿色表示新生骨)。(ⅳ) 各组(n=4)内植物周围和孔内区域骨体积分数的定量结果。
然而,应用3D打印多孔内植物修复骨缺损(尤其大段骨缺损)的临床治疗效果不仅需要随访病例观察结果的证实,也需要相关动物实验研究结果作为佐证。为此,研究团队进行了比较深入与系统的探索与研究。
图2. 3D打印多孔Ti6A14V内植物重建股骨4cm缺损的生物力学分析。(A) 各组样品的三点弯曲强度(n=4)(B)“内植物-骨”复合体在(ii)1000 N、(iv)2000 N和(vi)3000 N下的应力分布。“内植物-骨”复合体在(i)1000N,(iii)2000N和(v)3000N下的位移分布.(**p<0.01,*p<0.05)。
鉴于传统“骨-骨”融合方法在治疗大段骨缺损方面的缺陷,同时基于对大段骨缺损病例进行探索性治疗的经验与相关动物实验观察结果,研究团队提出了一种新的大段骨缺损修复重建的技术与理念:即“内植物-骨”界面融合。
图3.3D打印多孔Ti6A14V内植物重建修复4 cm长股骨缺损的组织学分析。(A) 1、3和6个月组的Goldner三色染色(i-iii)。(iv)三组种植体骨生长和种植体骨接触率的定量结果。(v)各组矿化骨和类骨质比率(n=10)(B)内植物周围和孔隙内新生骨的荧光标记。(白色箭头表示钛柱,绿色和黄色条带分别表示钙黄绿素和四环素标记的新生骨)。(i)1-,(iii)3-和(v)6个月组内植物周围的骨整合情况。(ii)1-,(iv)3-,(vi)6个月组内植物孔隙内的骨整合情况。
基本思路为:a、采用3D打印多孔钛合金假体植入骨缺损区的方式,将植入假体两端与相邻宿主骨连接固定,实现患者肢体的即刻(或早期)功能恢复;b、将植入假体设计为多孔结构,以吸引相邻骨组织长入其中及包绕其周围,实现“内植物-骨”界面融合。

图4.3D打印多孔Ti6Al4V内植物重建脊柱骨缺损(病例1)。(A) (i-vi)术后1个月(i)、3个月(ii)、7(个月iii)、12个月(iv)、24个月(v)和32(vi)个月的“内植物-骨”X线图像。蓝色箭头表示内植物与骨界面或内植物外表面新生骨。(B)术后3个月(i)、7个月(ii)、12个月(iii)、28个月(ⅳ)、32个月(v)和36个月(vi)的CT图像。蓝色箭头表示种植体-骨界面或种植体外表面新形成的骨。
当然,如果内植物的多孔结构内贯通式长入骨组织,形成“骨-骨”融合当最为理想,但恐难成现实。然而,当内植物假体两端有数毫米距离与宿主骨实现有效融合,则已经能满足患者恢复肢体运动功能所需。研究团队将采用电子束熔融(EBM)技术制成的3D打印多孔钛合金内植物应用于一组大段骨缺损病例的临床治疗,取得优于预期的疗效。同期,研究团队利用小尾寒羊制造长节段股骨缺损模型来研究这种方法的骨整合特点,对临床病例治疗的效果提供支撑依据。

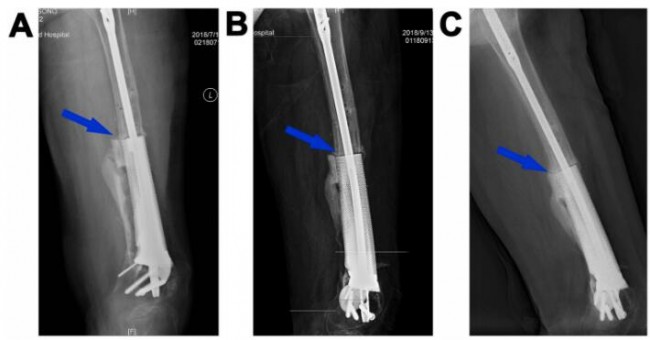
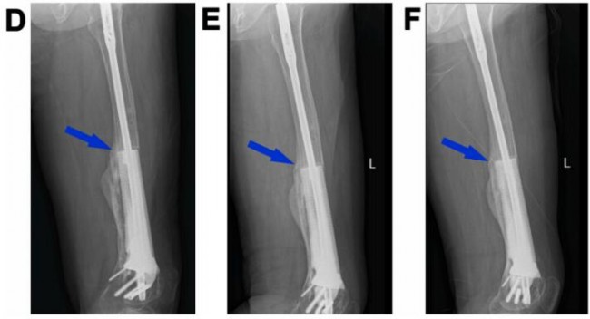
图5.3D打印多孔Ti6Al4V内植物重建股骨缺损(病例2)。末次术后即刻(A)和植入后2(B)、5个月(C)、8个月(D)、14个月(E)和20个月(F)重建的11cm股骨缺损的X线图像。蓝色箭头表示内植物和宿主骨之间的骨整合。
图6.3D打印多孔Ti6Al4V内植物重建骨盆骨缺损(病例3)。从(A)侧位和(B)前后位拍摄的“内植物-骨”复合体标本实物的照片。蓝色箭头所指“内植物-骨”界面区域的位置(C) “内植物-骨”界面的组织学图像,显示新生骨长入多孔内植物孔隙内。在(D)正中矢状面,(E)冠状面和(F)横切面上“内植物-骨”接触区域的micro-CT图像。
在这项研究中,研究团队在不使用自体/同种异体骨移植或任何骨诱导剂的前提下,成功地通过3D打印多孔钛合金内植物治疗了各种病因引起的大段骨缺损,获得了即刻及长期的生物力学稳定性。动物实验表明,骨可以在一定程度上生长到孔隙中,并逐渐重塑,从而使“内植物-骨”复合体实现长期力学稳定。此外,这项研究还提出了一种新的“内植物-骨”界面融合理念,用于治疗大段骨缺损,该理念不同于传统的“骨-骨”融合理念。
(采编:www.znzbw.cn)