数字科技的发展,正在不断改变医疗治疗手段。作为一种新兴的前沿技术,3D数字化为骨科医生新型治疗方式的实施提供了技术支撑,以其高效、准确的特征,助力开启骨科微创精准矫正手术“私人定制”时代。本期将分享一则来自广州市第一人民医院的案例——在三维扫描和3D打印导板辅助下,实现胫骨后倾畸形微创三维精准矫正。该案例由丁焕文教授带领的医疗团队进行诊断及手术,树蚁医疗团队进行数字化设计,先临三维进行术前、术中、术后的下肢准确三维数据的获取。
案例背景
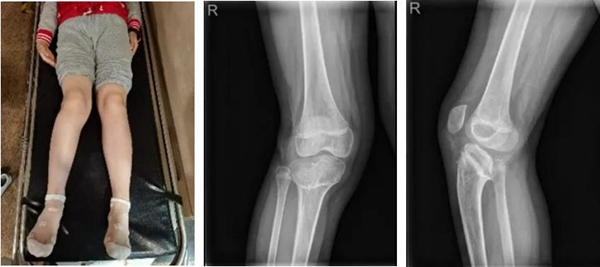
“医生伯伯,我老是被同学说腿怪怪的。”在广州第一人民医院9岁小李妹妹对医生这样说道。据患者家属描述,2016年9月小李妹妹因夹伤所致右下肢膝关节骨折,彼时当地医院对其进行了固定手术。但术后却逐步出现右下肢畸形,且越来越严重以致步态异常。

△小李妹妹的腿部状况;X线片
在丁焕文教授的安排下小李妹妹进行X线片、CT、MR等传统影像检查,患儿X线片和CT扫描二维断面图像均发现患者右膝有严重后倾畸形改变。于是,拿到CT数据的树蚁智能数字精准外科云服务系统团队使用建模软件对患者的全下肢进行了精准分离式三维重建,对小李妹妹重建后的患处进行了解剖方位对齐和多方位的精准三维测量,发现小李妹妹因为骨骺外伤和多年肢体畸形原因,右下肢短缩明显,达41mm。

△临床诊断:右膝部畸形
1. 矢状面畸形:胫骨平台后倾26.4736°
2. 额状面畸形:内翻6°
3. 右下肢短缩畸形(41mm)
◆手术三维设计方案◆
41mm不是一个很短的距离,在手术中,不能一次性撑开和简单的运用钢板解决问题。因此,树蚁团队第一时间为小李妹妹进行了手术三维规划,运用基于人体解剖学、树蚁Z字截骨新方案为基础,确定截骨位、截骨线。
确定“Z”形截骨线,确定胫骨近端及远端
辅助右胫骨截骨导板设计并匹配、3D虚拟场景构建与树蚁系统云端显示

明确患情后,丁焕文教授带领广州市第一人民医院临床研究团队制定了以下治疗计划:选用数字化3D打印技术辅助下行右胫骨远端精准截骨矫形、外固定+术后缓慢撑开延长术。

△三维模拟手术效果(树蚁系统云端数据)
◆3D数字化技术应用◆
术前,为了手术可以准确无误的进行,丁教授使用先临三维白光三维扫描技术——EinScan Pro 2X Plus多功能手持三维扫描仪对患者腿部进行扫描,为截骨设计了专用的手术辅助Z字截骨导板,并使用CAD设计和3D打印技术,精准定制手术导板和个性化外固定架,让手术导板能够更准确的贴合患肢,提高外固定置钉精准度,防止截骨位置发生偏差,达成微创截骨,帮助患者避免再次手术。

△腿部3D扫描过程

△腿部彩色3D扫描数据
高精度3D数字化技术的应用优势:
EinScan Pro 2X Plus多功能手持三维扫描仪采用非接触式白光扫描技术,扫描幅面大,细节完善,精度高,单幅精度最高可达0.04mm,因此可以无创、快速高效地获取患者腿部表面的高品质数据,形成相应的3D文件,以进行CAD设计及数据存档。
术中,为了将设计的置钉定位导板安装妥帖,丁教授利用扫描所获取的3D数据在电脑上进行畸形状态评估、辅助手术导板快速匹配和精准安放。同时,术后可将3D数据用于评估畸形矫形手术效果和引导术后矫形过程。

△辅助导板3D扫描

△术中皮外导板使用情况

△三维预后良好(树蚁系统云端数据)
◆未来可期◆

△小李妹妹术后三天借助拐杖落地行走
术后为了更加确保疗效,丁教授常规安排了小李妹妹进行了X线片、CT扫描等术后评估检测,证实小李妹妹右下肢的力线完全正常,手术效果良好。先临三维提供了下肢外观白光三维扫描,辅助术前导板定制设计、术中导板精准安放、术后评估效果及引导矫正。借助于高精度3D数字化技术,这样一台复杂疑难下肢畸形矫正手术得以精准、安全和轻松解决。
丁焕文教授:现为华南理工大学医学院教授、人体解剖教研室主任,临床医学和生物医学工程专业硕士研究生导师,第二附属医院暨广州市第一人民医院骨科主任医师。现学术任职为SICOT数字骨科学会常委、中国生物材料学会生物材料临床试验研究分会副主任委员、中华医学会医学工程分会数字骨科学组委员、中国医师协会骨科医师分会3D打印骨科学组委员等。
树蚁医疗:丁教授基于自身21年研究数字化精准骨科,依靠华南理工大学医学院虚拟应用解剖与外科手术虚拟仿真研究中心、国家人体组织功能重建工程技术研究中心,在积累了众多数字化手术使用案例后成立的一个技术转化型医疗服务公司。
*图文信息来源于 广州市第一人民医院 丁焕文教授团队 树蚁医疗团队