分享好友 资讯首页 频道列表

3D打印多孔钽金属掌指关节置换成功实施

2021-12-15 09:377250
【智能装备网讯】       患者于阿姨(化名),多年来一直受到右手疼痛的困扰,就诊于多家医院均诊断为右手第一掌指关节炎,关节面受累明显,掌指关节半脱位,接受了包括口服药、敷药、注射等多种疗法都无明显效果,活动明显受限,而且关节疼痛难耐,生活质量受到严重影响。

△术前影像学检查提示右侧第一腕掌关节炎,腕掌关节半脱位。
△右手第一腕掌关节周围肿胀疼痛,活动明显受限。

经评估检查,赵德伟团队认为该患者关节面损毁严重,已经进展至晚期腕掌关节炎阶段。采用保守治疗,将无法解决关节面问题,术后可能继续残留关节疼痛。经过与患者充分沟通交流,最终决定采取3D打印多孔钽金属人工第一腕掌关节置换术。
△为患者定制的3D打印第一腕掌关节假体

赵德伟教授团队经过采集患者的CT数据,量身定制了一套完全匹配于阿姨关节角度和尺寸的3D打印多孔钽金属人工第一腕掌关节假体,将患者受累的腕掌关节面替换为人工材料,一次手术改善患者关节炎的问题,减轻患者术后疼痛,改进关节功能。

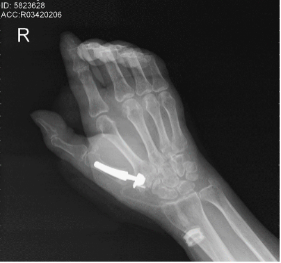
历经1个多小时的手术,患者的右手第一腕掌关节被全新的人工假体所代替。术后拍摄x线检查,假体摆放位置精确,与术前规划完美匹配。患者术后1个月来院复查时关节周围无明显红肿,疼痛感较术前明显改善,关节功能恢复正常水平。

△术后1个月患者右手第一掌指关节康复良好

3D打印多孔钽人工关节假体是赵教授团队自主研发的新技术,已获得多项国家专利证书。多孔钽具有组织相容性好、弹性模量与骨骼相似、有利于骨长入等特点,是目前临床常用的材料。在植入物的设计方面,团队根据患者CT扫描数据,进行拓扑优化,完全根据患者需要进行个性化定制。这样的设计可以减少术中对患者骨骼的处理,尽可能的保留患者原本的骨骼,同时也简化了手术过程,缩短手术时间,降低手术风险。
目前团队已经完成了全身多个部位(髋、膝、肩、足、手)的重建手术,假体设计基本满足了各种关节疾患的治疗需求,期待开展更多手术,帮助患者重拾信心,提高生活质量。

△赵德伟教授
大连大学附属中山医院名誉院长,大连大学骨科医学研究中心主任,二级教授,博士研究生导师。享受国务院特殊津贴,国家名医、辽宁名医、大连名医。国际骨循环研究会(ARCO)副主席、中国医师协会显微外科医师分会会长、中国医师协会骨科医师分会副会长、中华医学会显微外科学分会副主任委员中国生物材料学会常务理事、中国可降解镁临床转化联盟首席科学家等。《Annals of Plastic Surgery》副主编,《Journal of Orthopeadic Translation》国际编委、《中华骨科杂志》编委,《中华显微外科杂志》副主编,《中国临床解剖学杂志》副主编,《中国骨与关节损伤杂志》副主编等。

  从事骨科及显微外科工作40年,在股骨头缺血性坏死治疗方面独创治疗方法十余种。擅长髋关节疾病的诊断与治疗,尤其对股骨头缺血性坏死各期病变的诊断及治疗方面具有很深的造诣,搭建全国骨坏死治疗中心,推动第三代骨科植入材料的研究及临床转化。主持各类国家级课题10余项,先后各类奖项36项,其中日内瓦国际发明金奖1项,教育部科学技术进步一等奖1项,辽宁省科技发明一等奖1项、辽宁省科技进步一等奖5项,二等奖3项,中华医学科技进步二等奖2项。主编出版学术专著17部,以第一作者或者通讯作者身份发表论文256篇,SCI收录130篇,总影响因子 404.97,收录于《Lancet》、《Nature Medicine》、 《Biomaterials》等国际著名期刊。
(采编:www.znzbw.cn)

免责声明:

本网转载并注明自其它来源(非智能装备网)的作品,目的在于传递更多信息,并不代表本网赞同其观点或和对其真实性负责,不承担此类作品侵权行为的直接责任及连带责任。其他媒体、网站或个人从本网转载时,必须保留本网注明的作品第一来源,并自负版权等法律责任。如涉及作品内容、版权等问题,请在发布之日起十五天内与本网联系,否则视为放弃相关权利。

反对 0
举报 0
收藏 0
打赏 0
评论 0

相关资讯